和田精密歯研(株) 主催「歯科技工G-1グランプリ」で本学の学生が“優秀賞”を受賞しました!
国内最大手の歯科技工所、和田精密歯研(株)様が主催する「第16回 歯科技工G-1グランプリ」が開催されました。
全国35校の参加校から、技術力に自信のある学生334名が参加し、厳正な審査の結果、歯科技工士学科 専攻科生体技工専攻 1年生の高野 徹裕(たかの てつひろ)さんの作品が見事「優秀賞」に輝きました!

(出典:G-1グランプリのサイトより)
課題と受賞作品は、以下のとおりです。
【課題】
・専攻科(研究科)は、〔 専用模型 〕を配布。
・歯冠及び歯肉を天然歯大・解剖学的形態で〔 上顎 〕を彫刻し、模型を完成させる。
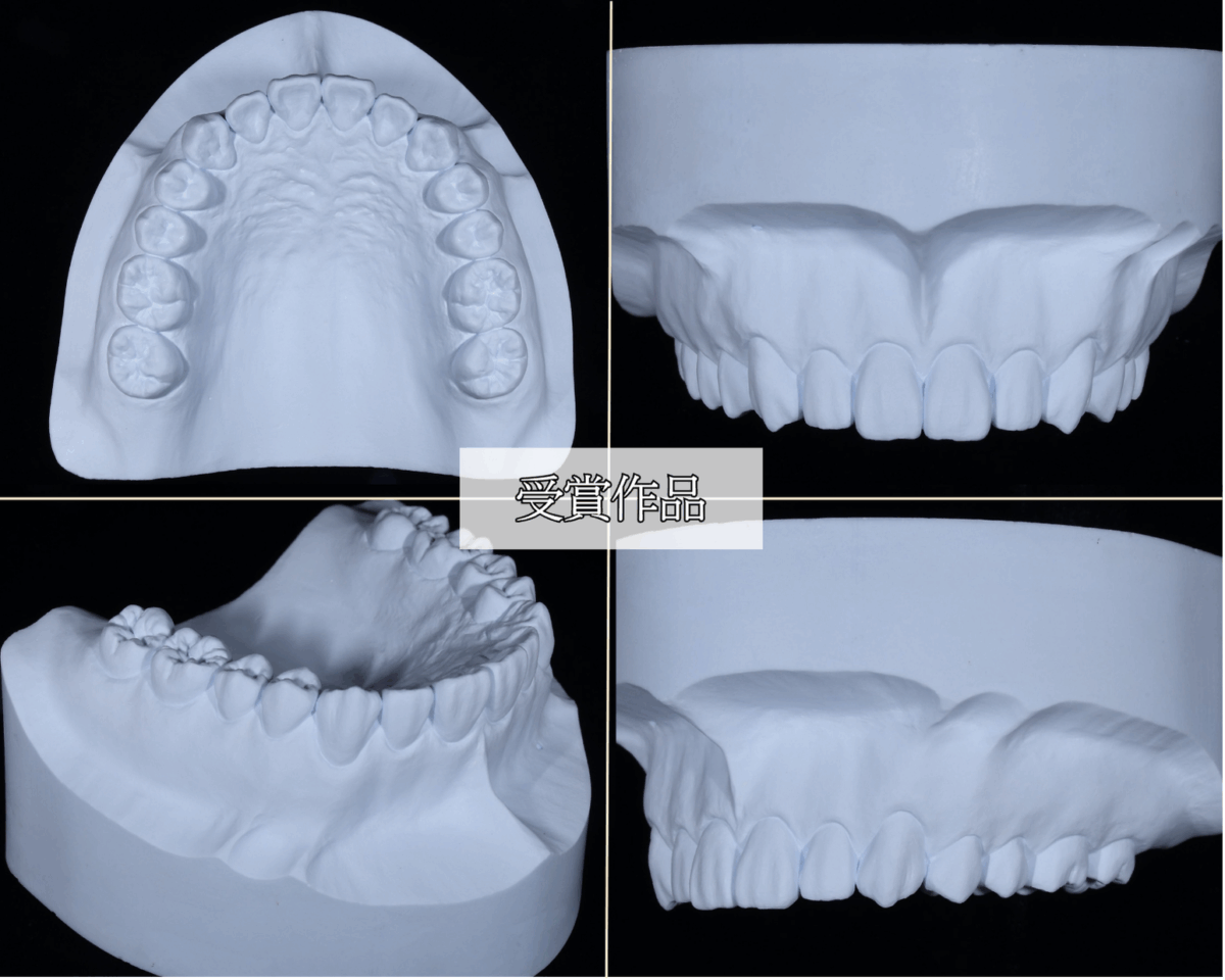
【高野さんの受賞作品】

(出典:G-1グランプリのサイトより)
臨床現場では、患者さまに対して最適な歯科技工装置を提供することが求められます。和田精密歯研(株)様では、技術の研鑽と学びを深める機会として「歯科技工G-1グランプリ」を開催されています。このグランプリは、技術向上を目指す歯科技工士を目指す学生にとって、大変貴重な機会となっています。
※最優秀、優秀、入賞作品は、和田精密歯研株式会社様の歯ART美術館(香川県高松市)にて、期間限定で展示予定となっています。
このたびの優秀賞は、学生と教員が重ねてきた努力が認められた結果であり、たいへん光栄に思っております。今後も教職員一丸となって、より一層の教育の充実と向上を目指して取り組んでまいります。


